[혐주의] 뇌 촌충 또는 열두조충 중국 기생충 엑스레이 xray 브라질 유구낭미충
아래에 혐오스러울 수 있는 엑스레이 사진이 있으니, 자신 없으신 분은 스크롤하지 말고 뒤로 가기 하세요.
몇 년 된 온몸 기생충 엑스레이 사진이지만 경각심을 위해 재 발행함.
중국의 광둥성 푸산시 순더 지역에서 한 남성이 회를 먹은 뒤에 온몸에 기생충에 감염되었다.
이 남성은 복부 통증과 피부 가려움이 생겨서 난팡 의과대학 부속병원으로 진료를 보러 갔다.
엑스레이를 찍어보니, 온몸에 촌충 같은 기생충이 퍼져있는 것이 Xray사진에 찍혔다.
이 촌충들이 뇌조직으로 침투할 경우 뇌 촌충으로 인해 생명이 위험해질 수 있다.
이 기생충들은 촌충 또는 열두 조충이라는 기생충인데 사람 신체에 침입해 장내에 기생하는 벌레들이다.
익히지 않은 날생선, 쇠고기, 돼지고기를 섭치 하다가 감염되는 경우가 많다.

특히 비위생적으로 처리된 송어, 연어, 대구 등을 날로 먹을 경우 체내로 유충이 침투하는 사례가 많다.
우리나라도 예외는 아닙니다.




열두 조충은 등과 배 쪽에 흡구 혹은 흡입 고랑을 가진 주걱 모양의 절편형 머리를 가진 슈도필리데아(Pseudophyllidea) 목 조충류 속 중 하나다.
비슷한 이름의 만선열두조충은 스파르가눔(sparganosis)이라는 스피로메트라(Spirometra) 기생충의 애벌레를 지칭하기도 한다.

이 만선 열두조충은 뱀이나 개구리 살 혹은 껍질 속에 산다.
만선열두조충의 주된 감염자들 중에는 군 특수부대 출신자들이 많았다.
생존훈련을 받을 때 뱀이나 개구리를 날로 잡아먹어서 감염된 경우가 많다.
혹은 고여 있지만 맑은 물을 보고 마셨다가 감염될 수도 있다.
흐르지 않는 물은 가급적 아니... 아예 야생의 물을 그냥 섭취하지 말아야 한다.
이 기생충의 무서운 점은 위의 사례 사진에서도 보았듯이 피하 결절을 이동하고 다닌다.
쉽게 말해 피부 속으로 벌레가 기어 다니는 느낌 매운맛 버전을 맛보게 된다는 점이다.
일단 감염이 되면, 가슴, 배, 팔다리의 피하조직이나 근육, 눈 주위 그리고 당신이 그토록 소중히 여기는 음낭 등에서 병을 일으킨다.
이 만선열두조충에 감염된 병증의 이름이 스파르가눔증이다.
피하조직이나 근육에 감염된 열두 조충 치료법은 구충제로는 안되고 수술로 적출해 내야만 한다.
아주 얌전하고 착한 아이들이 입주했다면 디스토마 약으로 구충할 수 있는 것으로 알려져 있다.
겨울에 빙어낚시들을 많이 하는데, 빙어를 그냥 산채로 초장에 찍어 먹는 사람들이 있다.
고래회충 저리 가라 할 만큼 징그러운 빙어 열두 조충을 보라...

먹을래?

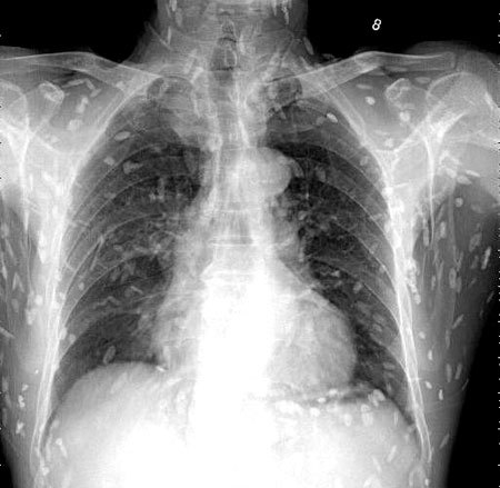
기침으로 인한 고통을 호소한 환자를 진료하던 의료진은 환자의 엑스레이 사진을 보고 경악했습니다. 엑스레이 촬영물에는 여러 마리의 촌충과 유충이 가득 찍혀있는 것이었습니다.
브라질의 한 의료진이 소셜네트워크서비스(SNS)에 기생충에 감염된 엑스레이 사진을 공개했습니다. 사진에는 몸속에 있는 기생충이 죽어 석회화된 수백 개의 점 형상이 보였습니다.
특히 유충이 근육이나 뇌 조직에 침투한 모습은 매우 충격적이었습니다. 이러한 증상은 유구조충의 유충에 의한 인체감염증으로, 유구 낭미충증이라고도 불립니다.
유구낭미충증은 주로 인간의 장에 사는 촌충의 유충이 근육이나 뇌로 침투할 때 발생합니다. 이 유충은 근육과 뇌에서 낭종과 같은 결절을 형성하기도 합니다.
유구낭미충은 육류, 특히 완전히 익히지 않은 돼지고기를 섭취할 때 인체로 전염됩니다. 이 유충은 뇌나 눈에 침투하여 두통, 복통, 심한 기침, 발작, 시력 저하 등 다양한 증상을 일으킬 수 있습니다. 세계보건기구(WHO)는 유구존충 유충으로 인한 낭종이 뇌전증의 주원인이 된다고 설명하고 있습니다.
이를 예방하기 위해 육류는 완전히 익혀 기생충이 죽도록 하는 것이 안전합니다. 소고기는 중심온도가 66℃ 이상, 돼지고기는 77℃ 이상에서 충분히 익혀야 기생충이 죽습니다.
소고기는 날로 먹는 경우가 많지만 기생충 감염의 위험이 있으므로 가급적이면 익혀서 섭취하는 것이 좋습니다. 육가공품은 중심 온도가 75℃에서 1분 이상 가열하여 조리하는 것이 좋습니다.
익히지 않은 음식에는 살모넬라균과 같은 세균도 존재합니다. 특히 닭과 같은 가금류는 맹장이 길고 다른 세균이 적어 살모넬라균이 번식하기 좋은 환경입니다. 또한 캄필로박터균도 존재합니다. 이 균은 개, 고양이, 소 등에서 주로 발견되지만 대부분은 닭과 같은 가금류를 통해 인체에 전염됩니다.
몸에 들어간 캄필로박터균은 잠복 기간 후 2~5일 동안 급성 설사와 같은 증상을 일으킵니다.
살모넬라균은 60℃에서 20분 이상, 70℃에서 3분 이상 가열하면 사멸됩니다. 캄필로박터균은 70℃에서 1분 가열하면 사멸됩니다.
또한 육류를 만진 후 다른 식재료를 만지기 전에는 손을 깨끗이 씻는 것이 좋습니다. 칼과 도마는 육류, 어류, 채소와 같은 식재료를 분리하여 사용하는 것도 식중독을 예방하는 좋은 방법입니다. 한 도구를 사용한 후에는 식재료가 변경될 때마다 세제로 철저히 세척하는 것이 권장되고 있습니다.
의료진은 해당 환자가 특별한 치료를 받지 않았다고 밝혔습니다. 그는 "머리, 척수, 눈에 이상이 없는 한 치료가 필요하지 않습니다"라며 "해당 물체들은 석회화되어 있어 생존 가능한 유충이 아닙니다. 불편함을 느끼지 않는다면 특별한 조치가 필요하지 않습니다"라고 말했습니다. 그러나 해당 환자의 뇌에 낭종이 있는지 확인하기 위해 MRI 검사를 기다리고 있다고 전했습니다.
'생활정보,상식' 카테고리의 다른 글
| 전국 권역외상센터 위치 및 서울, 대전 권역응급센터 (0) | 2017.12.18 |
|---|---|
| 아리수 수돗물 마시면 몸에 나쁜가? 마시기 TIP. (0) | 2017.12.01 |
| 코스트코 양평점 휴무일과 영업시간, 코스트코 베이크 (0) | 2017.03.01 |
| 국내연구진 동물 뇌 수술 후 소프트 윈도우로 관찰 두개골 대용물 개블 (0) | 2016.06.12 |
| 2016년 개별공시지가 조회 - 부동산공시가격 알리미 (0) | 2016.05.17 |
| 고추의 매운맛의 척도 스코빌 지수를 개발한 윌버 스코빌 탄생 151주년 구글 두들러 구글 이스터에그 (0) | 2016.01.22 |
| 2016년 보건의료 달라지는 점 7가지. 2016년 기초생활수급자 기준확대, 어린이예방접종, 노인돌봄서비스 지원확대 (0) | 2015.12.31 |
| 02-2131-1900 에서 농협은행계좌압류 서울 송파 경찰서에서 확인 024490557이라고 SMS 문자가 왔다. 스팸? (0) | 2015.06.03 |
목차